https://open.spotify.com/episode/4E1dZNtmOVtq202ItBFqD2?si=cfFhoIkrSrqsgnelhYaR8A Considering we eat an average of three meals a day in the U.S., it stands to reason that what we are putting in our bodies day after day may have a big impact on how our body feels. This...
Month: November 2025
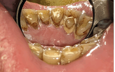
Oral Hygiene and Oral Cancer
https://open.spotify.com/episode/5Bgm6XtPWcpnMDJaZMVHn9?si=Y1bO_tE9QN6ZerCdNyR39w A bright, healthy smile is often one of the first things people notice, and research shows it can even influence social and economic opportunities. Individuals with untreated dental...
Knowing Risks and Benefits of Integrative Medicine for Chronic Pain is Crucial
https://open.spotify.com/episode/2Yc8HuqbXcdiBL7piDN60K?si=hGGf0J4HRyCFkKZs-4LwjQ As millions of people suffer from various types of chronic pain, they are seeking ways to get relief. Modern medicine may be able to provide some relief, but so too can some...
From Chairside to Community: How Everyday Hygiene Encounters Power Public Health Campaigns
https://open.spotify.com/episode/06s8t7bXDBA5KDhBbWIqcD?si=2huMvNKgRxyV2G75SflSwQ Oral diseases, including dental caries, periodontal disease, and oral cancers, are among the most prevalent non-communicable diseases (NCDs), causing 74% of global mortality before age...
National Dental Hygiene Month: Prioritizing Senior Oral Health
https://open.spotify.com/episode/2z4UGXrphVtgQouX1aJqef?si=gRpCu18AQHCz2MDAkg-a5w November marks National Dental Hygiene Month, a time to champion oral health for all ages. For seniors, maintaining oral hygiene is not just about a bright smile—it’s a critical...





