A bright, healthy smile is often one of the first things people notice, and research shows it can even influence social and economic opportunities. Individuals with untreated dental disease, such as visible decay, gum disease, or missing teeth, are statistically less likely to be hired and may earn lower wages compared to those with healthier smiles [1]. Restorative dental care, by contrast, can improve self-confidence, communication, and employability.
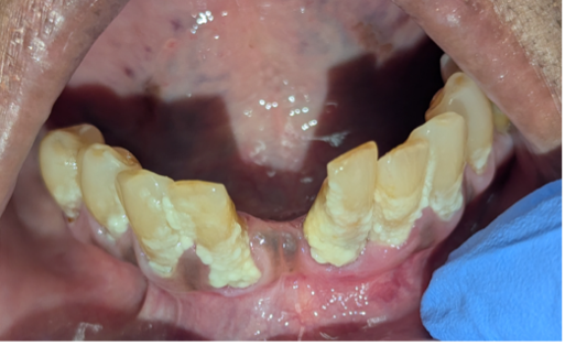
Beyond appearance, however, oral hygiene plays a crucial role in overall health. Poor oral health (Figures 1 and 2) has been linked to cardiovascular disease, diabetes, adverse pregnancy outcomes, neurodegenerative diseases (including Alzheimer’s disease), and several cancers. Oral cancer alone is the 6th most common cancer worldwide, and in the U.S. the average 5-year survival rate is only 64.3%, dropping to 38.5% when diagnosed after metastasis [2].

Figure 1. Plaque accumulation on the lingual anterior mandibular teeth

Figure 2. Debris and plaque accumulation of patient with poor oral hygiene
This oral–systemic connection is rooted in the body’s vast microbial ecosystem. The human body contains roughly 30 trillion human cells and an estimated 38 trillion bacterial cells, most residing in the gut [3]. But the mouth also hosts up to 1,000 microbial species, including bacteria, fungi, protozoa, and viruses, that interact with our immune system, metabolism, and inflammatory pathways. These microbes are shaped by the diet, environment, lifestyle, and, importantly, the oral hygiene habits.
Daily brushing, flossing, tongue cleaning, and regular dental checkups help maintain a balanced oral microbiome, preventing the overgrowth of harmful bacteria that can contribute to gum disease, systemic inflammation, and cancers, including oral cancer [4].
Like what you’re learning? Download a brochure for our Orofacial Pain and Oral Medicine certificate or master’s degree program.
What Is the Oral–Gut–Brain Axis?
The oral–gut–brain axis describes the complex communication network connecting the mouth, digestive system, and central nervous system.
Large quantities of oral bacteria are swallowed each day, and periodontal pathogens can reach the intestines within hours. Once there, enterochromaffin cells respond by releasing cytokines and neurotransmitters that influence intestinal motility, permeability, and inflammation [5].
The gut also contains the enteric nervous system (ENS), a dense neural network sometimes called the “second brain” which communicates bidirectionally with the central nervous system through the vagus nerve. This nerve is a key regulator of parasympathetic function and a target for treatments for epilepsy, depression, and obesity [6,7].
The oral cavity connects to the brain through:
• The trigeminal nerve, which provides sensory and motor function.
• Systemic inflammatory pathways, where periodontal disease triggers cytokine release into the bloodstream. These cytokines can cross or alter the blood–brain barrier.
• Direct microbial invasion, as periodontal pathogens and their enzymes have been identified in the brains of individuals with cognitive disorders such as Alzheimer’s disease [8].
Disruptions in the oral microbiome can therefore influence stress responses, inflammation, intestinal permeability, gene expression, and even mood. Some bacteria may even have antidepressant effects, highlighting the importance of a balanced microbiome [5].
How Does Oral Hygiene Influence Oral Cancer Risk?
Periodontal disease is strongly associated with increased risk of several cancers, including oral, head and neck, colorectal, breast, and pancreatic cancers [9]. While lifestyle factors such as smoking and alcohol use contribute, chronic systemic inflammation itself can worsen cancer progression.
Poor oral hygiene is also an independent risk factor for colorectal cancer, with patients often showing elevated levels of oral bacteria in the gut [9,10]. One organism in particular, Fusobacterium nucleatum, has been linked to the development, progression, and metastasis of colorectal, oral, and breast cancers [11,12].
Periodontitis may be related with the increases of oral squamous cell carcinoma (OSCC) through:
• Overgrowth of anaerobic bacteria that express virulence factors
• Chronic inflammation, a known carcinogenic driver
• Alterations of surrounding tissue and immune responses
• Synergistic interactions between pathogenic bacteria
OSCC is also associated with Porphyromonas gingivalis and Treponema denticola, which can interact with oral fungi such as Candida albicans, further worsening disease progression and metastasis risk [13,14].
Studies show that good oral hygiene improves survival rates among patients with OSCC [15], while poor hygiene increases the carcinogenic effects of tobacco and alcohol [16].
Can Improving Oral Hygiene Improve Disease Outcomes?
Yes. Strong evidence shows that better oral hygiene and periodontal therapy can improve systemic health. Benefits include:
• Improved glycemic control in diabetes
• Better outcomes in liver disease
• Reduced systemic inflammation
• Lower blood pressure
• Decreased risk of preterm birth [17]
Even simple plaque removal above the gumline can shift subgingival bacteria toward less harmful strains [18].
Improving oral hygiene reduces overall cancer risk and enhances survival odds in oral cancer patients [19,20].
Ultimately, brushing and flossing are the most accessible and cost-effective tools for maintaining a healthy oral microbiome, an essential foundation of whole-body and whole-brain health.
Are you interested in a variety of issues focused on orofacial pain, medicine and sleep disorders? Consider enrolling in the Herman Ostrow School of Dentistry of USC’s online, competency-based certificate or master’s program in Orofacial Pain and Oral Medicine.
References
1. Halasa-Rappel, Y. A., Tschampl, C. A., Foley, M., Dellapenna, M., & Shepard, D. S. (2019). Broken smiles: The impact of untreated dental caries and missing anterior teeth on employment. Journal of public health dentistry, 79(3), 231–237. https://doi.org/10.1111/jphd.12317
2. Tranby EP, Heaton LJ, Tomar SL, Kelly AL, Fager GL, Backley M, Frantsve-Hawley J. Oral Cancer Prevalence, Mortality, and Costs in Medicaid and Commercial Insurance Claims Data. Cancer Epidemiol Biomarkers Prev. 2022 Sep 2;31(9):1849-1857. doi: 10.1158/1055-9965.EPI-22-0114. PMID: 35732291; PMCID: PMC9437560.
3. Sender R, Fuchs S, Milo R. Revised Estimates for the Number of Human and Bacteria Cells in the Body. PLoS Biol. 2016 Aug 19;14(8):e1002533. doi: 10.1371/journal.pbio.1002533. PMID: 27541692; PMCID: PMC4991899.
4. Katsanoulas, T., Reneè, I., & Attström, R. (1992). The effect of supragingival plaque control on the composition of the subgingival flora in periodontal pockets. Journal of clinical periodontology, 19(10), 760–765. https://doi.org/10.1111/j.1600-051x.1992.tb02167.x
5. Sansores-España LD, Melgar-Rodríguez S, Olivares-Sagredo K, Cafferata EA, Martínez-Aguilar VM, Vernal R, Paula-Lima AC, Díaz-Zúñiga J. Oral-Gut-Brain Axis in Experimental Models of Periodontitis: Associating Gut Dysbiosis WithNeurodegenerative Diseases. Front Aging. 2021 Dec 10;2:781582. doi: 10.3389/fragi.2021.781582. PMID: 35822001; PMCID: PMC9261337.
6. Purves D, Augustine GJ, Fitzpatrick D, et al., editors. Neuroscience. 2nd edition. Sunderland (MA): Sinauer Associates; 2001. The Enteric Nervous System. Available from: https://www.ncbi.nlm.nih.gov/books/NBK11097/
7. Kenny BJ, Bordoni B. Neuroanatomy, Cranial Nerve 10 (Vagus Nerve) [Updated 2022 Nov 7]. In: StatPearls [Internet]. Treasure Island (FL): StatPearlsPublishing; 2025 Jan-. Available from: https://www.ncbi.nlm.nih.gov/books/NBK537171/
8. Adil, N. A., Omo-Erigbe, C., Yadav, H., & Jain, S. (2025). The Oral-Gut Microbiome-Brain Axis in Cognition. Microorganisms, 13(4), 814. https://doi.org/10.3390/microorganisms13040814
9. Isola G, Santonocito S, Lupi SM, Polizzi A, Sclafani R, Patini R, Marchetti E. Periodontal Health and Disease in the Context of Systemic Diseases. Mediators Inflamm. 2023 May 13;2023:9720947. doi: 10.1155/2023/9720947. PMID: 37214190; PMCID: PMC10199803.
10. Wang, Y., Zhang, Y., Qian, Y., Xie, Y. H., Jiang, S. S., Kang, Z. R., Chen, Y. X., Chen, Z. F., & Fang, J. Y. (2021). Alterations in the oral and gut microbiome of colorectal cancer patients and association with host clinical factors. International journal of cancer, 10.1002/ijc.33596. Advance online publication. https://doi.org/10.1002/ijc.33596
11. McIlvanna E, Linden GJ, Craig SG, Lundy FT, James JA. Fusobacterium nucleatum and oral cancer: a critical review. BMC Cancer. 2021 Nov 13;21(1):1212. doi: 10.1186/s12885-021-08903-4. PMID: 34774023; PMCID: PMC8590362.
12. Parhi L, Alon-Maimon T, Sol A, Nejman D, Shhadeh A, Fainsod-Levi T, Yajuk O, Isaacson B, Abed J, Maalouf N, Nissan A, Sandbank J, Yehuda-Shnaidman E, Ponath F, Vogel J, Mandelboim O, Granot Z, Straussman R, Bachrach G. Breast cancer colonization by Fusobacterium nucleatum accelerates tumor growth and metastatic progression. Nat Commun. 2020 Jun 26;11(1):3259. doi: 10.1038/s41467-020-16967-2. PMID: 32591509; PMCID: PMC7320135.
13. Ting HSL, Chen Z, Chan JYK. Systematic review on oral microbial dysbiosis and its clinical associations with head and neck squamous cell carcinoma. Head Neck. 2023 Aug;45(8):2120-2135. doi: 10.1002/hed.27422. Epub 2023 May 30. PMID: 37249085.
14. Saikia PJ, Pathak L, Mitra S, Das B. The emerging role of oral microbiota in oral cancer initiation, progression and stemness. Front Immunol. 2023 Oct 26;14:1198269. doi: 10.3389/fimmu.2023.1198269. PMID: 37954619; PMCID: PMC10639169.
15. Li R, Xiao L, Gong T, Liu J, Li Y, Zhou X, Li Y, Zheng X. Role of oral microbiome in oral oncogenesis, tumor progression, and metastasis. Mol Oral Microbiol. 2023 Feb;38(1):9-22. doi: 10.1111/omi.12403. Epub 2022 Dec 10. PMID: 36420924.
16. Zhao H, Zhang S, Ma J, Sun X. Impact of Oral Hygiene on Prognosis in Patients With Squamous Cell Carcinoma of the Lower Gingiva. Front Surg. 2021 Sep 21;8:711986. doi: 10.3389/fsurg.2021.711986. PMID: 34621779; PMCID: PMC8490626.
17. Mathur R, Singhavi HR, Malik A, Nair S, Chaturvedi P. Role of Poor Oral Hygiene in Causation of Oral Cancer-a Review of Literature. Indian J Surg Oncol. 2019 Mar;10(1):184-195. doi: 10.1007/s13193-018-0836-5. Epub 2018 Dec 7. PMID: 30948897; PMCID: PMC6414580.
18. Orlandi, M., Muñoz Aguilera, E., Marletta, D., Petrie, A., Suvan, J., & D’Aiuto, F. (2022). Impact of the treatment of periodontitis on systemic health and quality of life: A systematic review. Journal of clinical periodontology, 49 Suppl 24, 314–327. https://doi.org/10.1111/jcpe.13554
19. Katsanoulas, T., Reneè, I., & Attström, R. (1992). The effect of supragingival plaque control on the composition of the subgingival flora in periodontal pockets. Journal of clinical periodontology, 19(10), 760–765. https://doi.org/10.1111/j.1600-051x.1992.tb02167.x
20. Friemel J, Foraita R, Günther K, Heibeck M, Günther F, Pflueger M, Pohlabeln H, Behrens T, Bullerdiek J, Nimzyk R, Ahrens W. Pretreatment oral hygiene habits and survival of head and neck squamous cell carcinoma (HNSCC) patients. BMC Oral Health. 2016 Mar 11;16:33. doi: 10.1186/s12903-016-0185-0. PMID: 26969620; PMCID: PMC4788953.
