Cemento-osseous dysplasia (COD) is a benign fibro-osseous condition in which normal jawbone is replaced with fibrous tissue and cementum-like deposits. Although COD itself is not caused by plaque or gum disease, oral hygiene plays a crucial role in preventing complications, especially as the lesions progress and become denser and less vascularized. COD is typically asymptomatic and found during routine dental radiographs, but improper management can lead to avoidable infections and even chronic osteomyelitis.
What Is Cemento-Osseous Dysplasia?
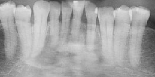
COD is classified into three subtypes, periapical, focal, and florid (Figure 1), depending on location and distribution within the jaw. It occurs most commonly in middle-aged women and is more frequent in individuals of African or Asian descent [1, 2].
As COD matures, the lesions progress from a radiolucent (soft tissue) stage to a mixed stage and, finally, to a radiopaque, sclerotic stage. In the mature stage, the bone becomes poorly vascularized, which significantly affects its ability to heal and resist infection [3].

Figure 1. Part of a panoramic radiograph showing cemento-osseous dysplasia in the mandible with the mixed radiopaque and radiolucency diffuse appearance periapical to teeth.
Why Oral Hygiene Matters in COD?
1. Mature COD Lesions Have Limited Healing Capacity
Because sclerotic COD bone has reduced blood supply, any breach of the mucosa, such as from periodontal disease, caries, or extractions, can create a pathway for infection. These infections can be difficult to treat because the compromised blood flow prevents a normal immune response [4].
2. Periodontal Disease Can Trigger Serious Complications
Even though COD is not related to periodontal disease, plaque accumulation and gum inflammation increase the risk of bacteria entering the dysplastic bone. Patients with COD and poor oral hygiene are at greater risk of osteomyelitis, a severe bone infection that is notoriously challenging to manage in areas with limited vascularity [5].
3. Avoiding Extractions Depends on Keeping Teeth Healthy
Teeth located near COD lesions should be maintained whenever possible. Extractions in affected areas can expose the hypovascular bone, leading to delayed healing, bone exposure, or chronic infection. Good oral hygiene helps prevent caries and periodontal disease, reducing the need for invasive dental procedures [6].
4. Preventing Secondary Infection Is Essential
Secondary infection, not COD itself, is the main reason patients experience pain, swelling, or bone exposure. Maintaining excellent oral hygiene, attending regular cleanings, and minimizing dental trauma are the most effective ways to avoid these complications [7].
Like what you’re learning? Download a brochure for our online, postgraduate Oral Pathology and Radiology certificate program.
Recommended Oral Care for Patients with COD
Home Care
- Brush twice daily with fluoride toothpaste
- Floss or use interdental cleaners daily
- Use an antibacterial rinse if recommended
- Maintain a low-sugar diet to minimize caries risk
Professional Care
- Dental checkups every 3–6 months, depending on risk level
- Radiographic monitoring to track lesion development
- Conservative periodontal therapy
- Avoidance of unnecessary extractions or surgical manipulation near COD areas
Procedures to Avoid
- Elective extractions in affected sites
- Surgical curettage of COD lesions, unless infection is present
- Implant placement in florid COD (high failure and infection risk) [8]
Conclusion
Cemento-osseous dysplasia is a benign condition, but it requires careful long-term dental monitoring. While oral hygiene problems do not cause COD itself, excellent oral care is one of the strongest protective factors against complications such as infection and impaired healing. With proper hygiene habits and regular dental follow-up, most patients with COD can maintain stable, complication-free oral health throughout their lives.
Postgraduate Oral Pathology and Radiology Certificate
Learn more about the clinical and didactic skills necessary to evaluate and manage patients with oral diseases by enrolling in Herman Ostrow School of USC’s online, competency-based certificate program in Oral Pathology and Radiology.
References
- Waldron CA. Fibro-osseous lesions of the jaws. J Oral Maxillofac Surg. 1993.
- Titinchi F, Alturki N, Morkel J, Alkaabi S, Taylor K. Cemento-osseous dysplasia: a multi-centre analysis of surgical management. Oral Maxillofac Surg. 2025 May 7;29(1):96. doi: 10.1007/s10006-025-01394-8. PMID: 40332587; PMCID: PMC12058939.
- MacDonald-Jankowski DS. Fibro-osseous lesions of the face and jaws. Clin Radiol. 2004 Jan;59(1):11-25. doi: 10.1016/j.crad.2003.07.003. Erratum in: Clin Radiol. 2009 Jan;64(1):107. PMID: 14697371
- Speight PM, Carlos R. Maxillofacial fibro-osseous lesions. Current Diagnostic Pathology. 2006
- Beylouni I, Farge P, Mazoyer F, Coudert JL. Florid cemento-osseous dysplasia complicated by chronic osteomyelitis. Oral Surg Oral Med Oral Pathol Oral Radiol Endod. 1998.
- Kawai T, Hiranuma H, Kishino M, Jikko A, Sakuda M. Cemento-osseous dysplasia of the jaws in 54 Japanese patients: a radiographic study. Oral Surg Oral Med Oral Pathol Oral Radiol Endod. 1999 Jan;87(1):107-14. doi: 10.1016/s1079-2104(99)70303-3. PMID: 9927089.
- Kim JH, Song BC, Kim SH, Park YS. Clinical, radiographic, and histological findings of florid cemento-osseous dysplasia: a case report. Imaging Sci Dent. 2011 Sep;41(3):139-42. doi: 10.5624/isd.2011.41.3.139. Epub 2011 Sep 15. PMID: 22010072; PMCID: PMC3189539.
- Mlouka M, Tlili M, Khanfir F, Hamrouni A, Khalfi MS, Ben Amor F. Implant placement in a focal cemento-osseous dysplasia: A modified protocol with a successful outcome. Clin Case Rep. 2022 Jan 20;10(1):e05307. doi: 10.1002/ccr3.5307. PMID: 35079398; PMCID: PMC8777049.
